Tẩy nốt ruồi là một phương pháp làm đẹp phổ biến, tuy nhiên nhiều người đã gặp phải tình trạng để lại sẹo lõm sau khi thực hiện. Điều này không chỉ ảnh hưởng đến thẩm mỹ mà còn khiến người trong cuộc lo lắng không biết tẩy nốt ruồi bị sẹo lõm phải làm sao? Bài viết dưới đây của Phòng khám Da liễu LG sẽ giúp bạn hiểu rõ nguyên nhân gây sẹo lõm sau khi tẩy nốt ruồi và gợi ý những phương pháp điều trị an toàn, hiệu quả từ cơ bản đến chuyên sâu.
Vì sao tẩy nốt ruồi để lại sẹo lõm?
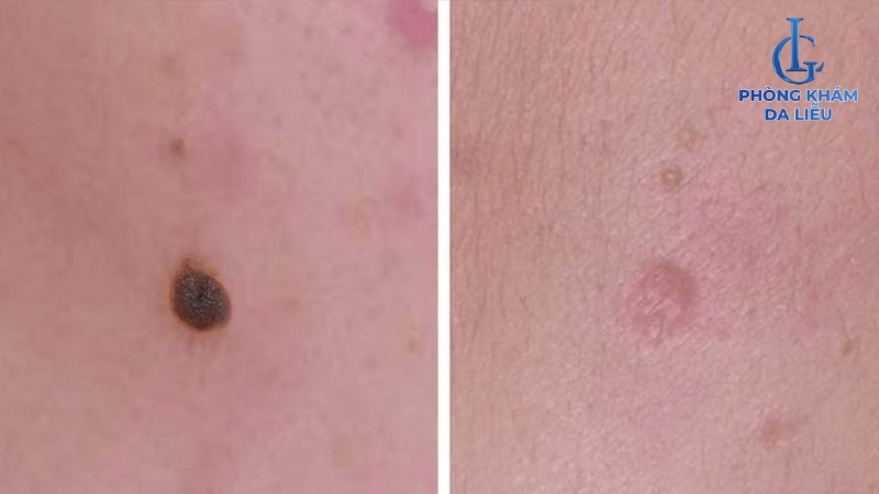
Sẹo lõm sau khi tẩy nốt ruồi hình thành chủ yếu do sự thiếu hụt mô dưới da tại vị trí nốt ruồi bị loại bỏ. Tình trạng này thường trở nên rõ rệt hơn nếu nốt ruồi có kích thước lớn, quá trình tẩy được thực hiện bằng kỹ thuật chưa chuẩn xác, sử dụng công nghệ cũ hoặc việc chăm sóc da sau điều trị không đúng cách. Khi cơ thể tự chữa lành vết thương, collagen sẽ được sản sinh để tái tạo và kết nối các vùng da. Tuy nhiên, nếu lượng collagen không đủ để lấp đầy phần mô đã mất, vùng da đó sẽ bị lõm xuống, từ đó hình thành sẹo lõm.

Các nguyên nhân chính dẫn đến tình trạng tẩy nốt ruồi bị sẹo lõm là:
- Tác động quá sâu vào cấu trúc da: Các phương pháp như laser, đốt điện hoặc phẫu thuật có thể loại bỏ nốt ruồi tận gốc nhưng đồng thời cũng phá hủy tầng trung bì, nơi chứa collagen và elastin. Khi lớp mô này không được phục hồi đầy đủ, vùng da sẽ bị lõm xuống và hình thành sẹo
- Thiếu chăm sóc đúng cách sau tẩy nốt ruồi: Việc không giữ vệ sinh, không chống nắng hoặc tự ý bóc lớp vảy non khiến da bị tổn thương nghiêm trọng hơn, làm chậm quá trình tái tạo và dễ để lại sẹo lõm.
- Cơ địa dễ hình thành sẹo lõm: Một số người có làn da hồi phục kém, sản sinh collagen chậm nên dù tẩy nốt ruồi bằng phương pháp an toàn vẫn có nguy cơ để lại sẹo.
- Nhiễm trùng vùng tẩy nốt ruồi: Nếu vùng da sau khi tẩy bị nhiễm trùng, viêm loét hoặc có mủ, mô da sẽ không thể tái tạo bình thường, vết thương khó phục hồi và dễ hình thành sẹo lõm
- Không sử dụng sản phẩm hỗ trợ tái tạo da: Thiếu đi sự hỗ trợ từ các sản phẩm dưỡng tái tạo như serum phục hồi, kem tái tạo da sau thủ thuật cũng góp phần làm tăng nguy cơ hình thành sẹo lõm.

Tóm lại, sẹo lõm hình thành sau khi tẩy nốt ruồi vì nhiều nguyên nhân như chăm sóc sai cách, điều trị với phương pháp không phù hợp, nhiễm trùng, cơ địa,… việc hiểu đúng nguyên nhân sẽ giúp bạn tìm ra cách phục hồi phù hợp và an toàn nhất cho làn da của mình
Tẩy nốt ruồi bị sẹo lõm phải làm sao?
Để cải thiện sẹo lõm sau khi tẩy nốt ruồi, bạn có thể lựa chọn nhiều phương pháp khác nhau như dùng kem trị sẹo, áp dụng công nghệ thẩm mỹ hiện đại hoặc kết hợp một số mẹo dân gian như đắp rau má để hỗ trợ phục hồi da.
Khắc phục sẹo lõm tại nhà
Nếu sẹo còn mới hoặc ở mức độ nhẹ, bạn hoàn toàn có thể áp dụng một số phương pháp chăm sóc tại nhà để hỗ trợ cơ chế tự tái tạo và lấp đầy sẹo của làn da. Cụ thể:
- Giữ vệ sinh vùng da tổn thương sạch sẽ để tránh nhiễm trùng, chặn đứng nguyên nhân làm sẹo nặng hơn.
- Dưỡng ẩm và tái tạo da bằng serum có chứa peptide, HA, vitamin B5 giúp thúc đẩy quá trình phục hồi mô tổn thương
- Bôi kem chứa retinol nồng độ thấp hoặc gel silicone chuyên dụng cho sẹo rỗ để hỗ trợ làm đầy mô bị lõm.
- Tránh ánh nắng trực tiếp và sử dụng kem chống nắng SPF cao mỗi ngày, vì tia UV khiến sẹo thâm và khó mờ.
- Tuyệt đối không gãi, bóc vảy hay tự ý dùng thuốc bôi không rõ nguồn gốc, điều này chỉ khiến vết sẹo trở nên nghiêm trọng hơn.

Các phương pháp này phù hợp nếu bạn vừa mới tẩy nốt ruồi từ 3 ngày đến 6 tuần. Tuy nhiên, nếu đã để lại sẹo lõm rõ rệt, việc điều trị tại nhà sẽ bị giới hạn, thường chỉ mang tính hỗ trợ chứ không thể phục hồi hoàn toàn.
Áp dụng công nghệ thẩm mỹ hiện đại
Điều trị chuyên sâu tại các phòng khám da liễu chính là giải pháp tối ưu nhất dành cho những ai đang lo lắng “tẩy nốt ruồi để lại sẹo lõm phải làm sao”, đặc biệt là với những trường hợp sẹo lõm nặng, chân sẹo sâu hoặc đã tồn tại lâu năm. Dưới đây là những phương pháp, công tiên tiến hiện đang được áp dụng phổ biến tại các cơ sở da liễu uy tín:
- Laser Fractional CO2: Công nghệ tác động vi điểm lên vùng sẹo lõm, kích thích da sản sinh collagen tự thân và tái tạo mô mới. Phù hợp cho cả sẹo mới và sẹo lâu năm do tẩy nốt ruồi.

- Cắt đáy sẹo: Dùng kim y khoa chuyên dụng để phá vỡ các sợi xơ dính kéo phần đáy sẹo xuống mô dưới da. Khi các dải xơ bị cắt đứt, đáy sẹo được giải phóng và có thể tự đầy lên nhờ cơ chế lành thương tự nhiên hoặc kết hợp thêm tiêm PRP, filler để đẩy nhanh quá trình phục hồi.
- Lăn kim kết hợp PRP: Kích thích tăng sinh collagen tự thân, tái cấu trúc da từ bên trong, giúp mô da đầy lên một cách tự nhiên và an toàn.
- Cấy collagen hoặc tiêm filler vùng sẹo lõm: Là giải pháp nhanh chóng giúp làm đầy sẹo sâu, đặc biệt hiệu quả với vùng mặt. Tuy nhiên, phương pháp này chỉ mang lại hiệu quả tạm thời, không tác động đến cấu trúc mô xơ bên dưới sẹo nên không thể điều trị triệt để.

- Peel da chuyên sâu bằng acid hữu cơ (AHA/BHA): Hỗ trợ loại bỏ tế bào chết, tăng cường tái tạo, làm mịn bề mặt da, đồng thời hỗ trợ cải thiện độ sần và màu sắc vùng sẹo, thường được kết hợp cùng các phương pháp chuyên sâu khác như laser hay RF vi điểm.
Các công nghệ y khoa hiện nay hoàn toàn có thể can thiệp cải thiện tình trạng sẹo lõm sau tẩy nốt ruồi. Đặc biệt, tại phòng khám Da liễu LG, phác đồ điều trị sẹo lõm thường được cá nhân hóa, ứng dụng đa công nghệ và kỹ thuật hiện đại như bóc tách đáy sẹo, lăn kim, Laser CO2 Fractional, cấy tế bào gốc trị sẹo rỗ,… đảm bảo mang tới hiệu quả tối ưu nhất cho từng khách hàng.
Chế độ dinh dưỡng giúp lấp đầy sẹo lõm nhanh chóng
Nhiều người chỉ tập trung vào kem bôi mà quên rằng dinh dưỡng quyết định đến 30% tốc độ phục hồi mô. Để các sợi Collagen và Elastin được tổng hợp liên tục tại đáy sẹo, bạn cần một chế độ ăn đầy đủ như sau:
Nhóm thực phẩm nên tăng cường (Thúc đẩy tái tạo)
- Thực phẩm giàu Vitamin C: cam, bưởi, ổi, dâu tây,..: Đây là chất xúc tác không thể thiếu để cơ thể tự tổng hợp Collagen tự nhiên, giúp vết lõm đầy lên từ bên trong.
- Protein lành tính: thịt heo nạc, đậu phụ: Cung cấp các axit amin thiết yếu – “nguyên liệu” chính để xây dựng lại các lớp tế bào da mới.
- Kẽm và các loại hạt (hạnh nhân, óc chó, hạt bí): Kẽm đóng vai trò quan trọng trong việc kháng viêm và đẩy nhanh chu kỳ tái tạo da non.
Nhóm thực phẩm nên kiêng (Tránh biến chứng sẹo)
Trong khoảng 2 tuần đầu sau khi tẩy nốt ruồi, bạn nên hạn chế các thực phẩm dễ gây kích ứng hoặc làm biến dạng cấu trúc sẹo:
- Rau muống: Có khả năng tăng sinh Collagen quá mức, dễ gây ra tình trạng sẹo lồi hoặc sẹo hỗn hợp (vết sẹo lồi lõm không đều).
- Thịt bò và nước tương: Dễ khiến vùng da non bị sẫm màu, để lại vết thâm sau khi lành.
- Hải sản và đồ nếp: Có tính nóng, dễ gây ngứa ngáy, mưng mủ hoặc viêm nhiễm, khiến vết thương lâu lành và đáy sẹo bị sâu hơn.
Lời khuyên bác sĩ: Hãy uống đủ 2 lít nước mỗi ngày để duy trì độ ẩm cho da, giúp quá trình trao đổi chất tại vùng da đang bị tổn thương diễn ra thuận lợi nhất.
Những lưu ý quan trọng sau khi tẩy nốt ruồi để hạn chế sẹo lõm
Thay vì để sẹo rỗ hình thành rồi mới bắt đầu tìm hiểu tẩy nốt ruồi bị sẹo lõm phải làm sao, bạn có thể chặn đứng nguy cơ hình thành sẹo ngay từ giai đoạn chăm sóc hậu thủ thuật. Dưới đây là những lưu ý không thể bỏ qua:
- Không chạm tay vào vùng da vừa tẩy: Trong 48 – 72 giờ đầu tiên, vùng da vừa tẩy còn rất nhạy cảm. Việc sờ tay, gãi, hay tác động mạnh có thể gây nhiễm trùng, khiến quá trình hồi phục bị gián đoạn và dễ hình thành sẹo lõm.
- Tuyệt đối không bóc vảy non hoặc làm trầy da: Khi lớp vảy bắt đầu bong, nhiều người thường có thói quen bóc sớm để “nhanh lành”. Nhưng thực chất điều này dễ khiến tổn thương tái phát, mô da chưa đủ thời gian phục hồi sẽ dẫn đến lõm sâu.
- Chống nắng kỹ lưỡng: Ánh nắng không chỉ làm thâm vết tẩy mà còn làm chậm quá trình tái tạo da. Bạn nên sử dụng kem chống nắng phổ rộng có chỉ số SPF 50+ và che chắn cẩn thận nếu phải ra ngoài.

- Sử dụng sản phẩm hỗ trợ phục hồi da: Sau khi vùng da khô lại, bạn có thể bắt đầu dùng serum phục hồi có chứa vitamin B5, peptide hoặc retinol nồng độ thấp để giúp làm đầy và tái tạo mô.
- Tránh dùng mỹ phẩm hoặc hóa chất mạnh lên vùng da vừa tẩy: Trong ít nhất 1 tuần đầu, bạn nên tránh tẩy tế bào chết, dùng sữa rửa mặt có axit mạnh hay sản phẩm có cồn cao. Những chất này có thể làm da kích ứng và dễ để lại dấu vết sau lành thương.
- Theo dõi dấu hiệu bất thường: Nếu vùng da tẩy bị sưng đỏ, đau, chảy mủ hoặc lâu lành hơn bình thường, bạn nên đến cơ sở da liễu để kiểm tra. Can thiệp sớm sẽ giúp giảm nguy cơ để lại sẹo lõm vĩnh viễn.

Vậy bạn đã có câu trả lời với câu hỏi tẩy nốt ruồi bị sẹo lõm phải làm sao? Với sẹo nhẹ, bạn có thể ưu tiên chăm sóc tại nhà bằng sản phẩm phục hồi và chống nắng nghiêm ngặt. Với sẹo lõm sâu hoặc lâu năm, nên ưu tiên liệu trình chuyên sâu như Laser Fractional CO2, PRP hay cắt đáy sẹo để tác động vào cấu trúc sẹo. Quan trọng nhất là xử lý sớm, đúng cách và kết hợp linh hoạt giữa chăm sóc tại nhà và điều trị y khoa để tối ưu hiệu quả phục hồi, rút ngắn thời gian và duy trì kết quả lâu dài.
Nếu bạn đang quan tâm đến giá điều trị sẹo rỗ hoặc chưa rõ cắt đáy sẹo rỗ giá bao nhiêu, hãy đến Phòng khám Da liễu LG để được bác sĩ da liễu trực tiếp thăm khám, đánh giá tình trạng sẹo và xây dựng phác đồ cá nhân hóa, đảm bảo hiệu quả và an toàn lâu dài.
Một số câu hỏi liên quan
1. Tẩy nốt ruồi bao lâu thì bôi kem trị sẹo?
Bạn có thể bắt đầu bôi kem trị sẹo sau khoảng 5 – 7 ngày, khi vùng da đã khô, đóng vảy và không còn rỉ dịch. Tuyệt đối không bôi khi vết thương còn hở để tránh kích ứng.
2. Trị sẹo lõm sau khi tẩy nốt ruồi bằng nghệ được không?
Nghệ có thể hỗ trợ mờ thâm nhẹ, nhưng không đủ mạnh để làm đầy sẹo lõm. Với sẹo lõm do tẩy nốt ruồi, nên ưu tiên các sản phẩm hoặc phương pháp chuyên sâu hơn như retinol, PRP, laser hoặc cắt đáy sẹo tuỳ vào mức độ sẹo.
3. Tẩy nốt ruồi bị sẹo lõm phải làm sao để da phục hồi nhanh chóng?
Bạn nên kết hợp chăm sóc tại nhà bằng sản phẩm tái tạo da và đến cơ sở da liễu để được tư vấn điều trị chuyên sâu với laser, PRP hoặc cắt đáy sẹo nếu sẹo lõm đã hình thành rõ.
4. Sẹo lõm do tẩy nốt ruồi có thể điều trị hết hoàn toàn không?
Sẹo lõm có thể cải thiện đáng kể từ 70 – 90% nếu được điều trị đúng cách. Đặc biệt, với công nghệ hiện đại như Laser Fractional CO2 hoặc cắt đáy sẹo, hiệu quả phục hồi sẽ rõ rệt hơn.
5. Bao lâu sau khi tẩy nốt ruồi thì biết có bị sẹo lõm không?
Thông thường, khoảng 2 – 4 tuần sau tẩy là có thể nhận biết dấu hiệu sẹo lõm. Nếu vùng da lõm xuống, không đều màu hoặc không đầy lại sau bong vảy, đây cũng là lúc nhiều người bắt đầu lo lắng tẩy nốt ruồi bị sẹo lõm phải làm sao.

